A Gentle Guide from Shraddha’s Dental Clinic One of the most common questions we hear from patients at Shraddha’s Dental Clinic is:
Prosthodontics is a dental specialty focused on restoring and replacing missing or damaged teeth with artificial solutions. It improves oral function, aesthetics, and comfort through treatments like crowns, bridges, dentures, and implants. Prosthodontists often handle complex rehabilitation cases to help patients chew, speak, and smile with confidence.
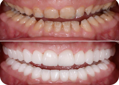
Popular prosthodontic services include crowns, bridges, dentures, dental implants, veneers, full mouth rehabilitation, TMJ/TMD treatment, and maxillofacial prosthetics. These treatments restore function, enhance appearance, and boost overall oral health.
Crowns are custom-made caps that cover damaged, weakened, or severely decayed teeth. They restore the tooth’s original shape, strength, and function while improving its appearance. Made from materials like porcelain, ceramic, or metal, crowns are designed to blend naturally with surrounding teeth and provide long-lasting protection.
Bridges are fixed dental restorations used to replace one or more missing teeth. They work by anchoring artificial teeth (pontics) to the natural teeth or dental implants on either side of the gap. Bridges restore chewing ability, maintain facial structure, and prevent remaining teeth from shifting out of position.
Dentures are removable appliances that replace missing teeth and surrounding gum tissue. Available as complete or partial sets, they help patients regain their ability to eat, speak, and smile comfortably. Modern dentures are designed for a natural appearance and a comfortable fit, often using lightweight, durable materials.
Dental implants are permanent tooth replacement solutions involving a titanium post surgically inserted into the jawbone. They act as artificial roots, supporting crowns, bridges, or dentures. Implants offer exceptional stability, durability, and a natural look, making them one of the most preferred tooth replacement options.
Veneers are thin, custom-crafted shells made from porcelain or composite material, bonded to the front surface of teeth. They are ideal for correcting discoloration, minor chips, gaps, or uneven shapes. Veneers enhance the smile’s appearance while maintaining a natural and translucent look.
Full mouth rehabilitation combines multiple dental procedures to restore the function, health, and aesthetics of the entire mouth. This treatment is often needed for patients with extensive tooth damage, wear, or missing teeth, and may include crowns, bridges, implants, and orthodontics.
TMJ/TMD treatments address disorders of the temporomandibular joint, which can cause jaw pain, clicking, headaches, and difficulty chewing. Treatments may involve bite adjustments, splints, physical therapy, or other methods to relieve discomfort and restore proper jaw movement.
Our dental practice is staffed by highly skilled and experienced dentists who have undergone extensive training in various dental procedures.
The primary purpose of a medical facility is to provide medical care, treatment, and diagnosis for patients.
Dentists diagnose and treat oral health issues, perform dental procedures, and provide preventive care.
These small, handheld cameras allow dentists to capture high-quality images of the inside of a patient’s mouth.
Posted on Kunal JainTrustindex verifies that the original source of the review is Google. We recently visited Dr. Shraddha for my daughter’s tooth treatment, and I must say the entire experience was excellent. She handled the tooth extraction with great care and expertise, making sure my daughter was completely comfortable throughout. After the procedure, she also placed a space maintainer to ensure proper dental development — all done with a very professional and gentle approach. Dr. Shradha is not only skilled but also extremely patient and kind with children. Highly recommend her for any pediatric dental needs.Posted on Archana behlTrustindex verifies that the original source of the review is Google. ⭐⭐⭐⭐⭐ Excellent Dental Care Experience! I had a wonderful experience at Dr Shraddha's complete dental care clinic. She was friendly and professional, and the clinic was clean and well-maintained. Dr Shraddha is highly skilled, patient, and takes the time to explain everything clearly. The treatment was painless, and I felt completely at ease throughout. I truly appreciate their attention to detail and commitment to patient care. Highly recommend for anyone looking for top-notch dental services!Posted on priya chawlaTrustindex verifies that the original source of the review is Google. Choosing Dr. Shraddha for my dental care was the best decision me and my wife has made. The level of professionalism and expertise shown by her and her team is truly remarkable. From the moment I walked into the clinic, we felt at ease due to the friendly and welcoming atmosphere. She took the time to thoroughly explain each procedure, addressing all our concerns with patience. The dental work we received was of the highest quality, and I'm extremely satisfied with the results. Thank you, Dr. Shraddha for providing exceptional care and making my dental experience comfortable and positive! Highly recommend.Posted on PRABHRAJ SINGHTrustindex verifies that the original source of the review is Google. Ma'am is a doctor with Kind heart. She have empathy towards her patients which is very important in doctor for me. She understands and guides them professionally. Some doctors are after money they suggest unnecessary treatment she will guide and suggest which is best So highly recommendable Dr Shardha MahajanPosted on Vedanti DuganeTrustindex verifies that the original source of the review is Google. First and best experiencePosted on Tanvi Kapoor GoyalTrustindex verifies that the original source of the review is Google. Dr. Shraddha is an amazing dentist. She is very knowledgable and makes one feel very comfortable. Most importantly she gives you an honest opinion which is why, when it comes to dental care, my entire family only trusts her. I would highly recommend her.Posted on Catkin OutdoorsTrustindex verifies that the original source of the review is Google. Thank you Dr.Shradha for your expertise filled practice. I really appreciate the way you handled my mother’s grievance and enabled her to have healthy teethPosted on Mandeep SidhuTrustindex verifies that the original source of the review is Google. Great ortho and other dental services are provided here and have faced no issues.Highly recommend!Posted on Erchit SoodTrustindex verifies that the original source of the review is Google. Professional service. An extremely delicate hand leading to very minimal discomfort during my scaling/cleaning. Overall, an exceptional experience. Highly recommended.Verified by TrustindexTrustindex verified badge is the Universal Symbol of Trust. Only the greatest companies can get the verified badge who has a review score above 4.5, based on customer reviews over the past 12 months. Read more
At Shraddha’s Complete Dental Care & Implant Center, enjoy special discounts on dental check-ups, cleanings, and implant consultations. Your smile matters to us—book now and experience quality dental care at affordable prices in Dhakoli and Panchkula. Limited-time only!
A Gentle Guide from Shraddha’s Dental Clinic One of the most common questions we hear from patients at Shraddha’s Dental Clinic is:
📍 830, Sector 12 Rd, Sector 12, Panchkula, Haryana 134112
✉️ info@shraddhasdental.com
📍 151 UG, Panchkula Shopping Complex, Peer Muchalla Rd, Dhakoli, Zirakpur, Kishanpura, Punjab 140063
✉️ info@shraddhasdental.com
Shraddha’s Complete Dental Care and Implant Centre in Panchkula, Dhakoli offers advanced, painless, and affordable dental treatments for all ages. Led by an ex-Army professional, we ensure trusted, expert care with a compassionate approach.